Skip to main content
MENU
212.658.1440
Home
Meet Dr. Kosdon
Why Choose Dr. Kosdon for Porcelain Veneers?
Reviews
Video Library
Blog
Porcelain Veneers
What are Porcelain Veneers?
Porcelain Veneers vs. Crowns
Who is a Candidate for Porcelain Veneers?
Types of Veneers
What are the Benefits of Porcelain Veneers?
How Much should Veneers Cost?
The Making of a Smile
Consultation & Exam
Smile Analysis
Smile Design
Temporary Veneers
Veneer Refinement
Results
What to Expect – FAQs
What Can I Expect after My Veneers Have Been Placed?
How Long Do Porcelain Veneers Last?
How Do I Care for My Porcelain Veneers?
Do Porcelain Veneers Stain?
Smile Portfolio
Traveling Patients
Contact Us
Home
/
Gallery
/
Men
/
Patient 16
Men Photos
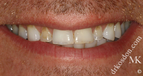
Porcelain Veneers - Patient 16
Prev
Next
Before
After
30 CENTRAL PARK SOUTH
SUITE 12D
NEW YORK, NY 10019
212.658.1440
Request an Appointment